Au! 41+ Grunner til Kreft I Tannkjøttet! De fleste pasienter med alvorlig og tilbakevendende periodontitt (tannkjøttsykdom) viste en økt tilstedeværelse av amøben entamoeba gingivalis i munnhulen.

Kreft I Tannkjøttet | I det innledende stadiet av tannkjøttkreft dannes det en liten hevelse nær tennene, hvorfra blod siver fra når det presses. Noen symptomer du selv kan oppdage er åpne sår, hvite eller rødlige flekker samt endringer i leppene, tungen og slimhinnen som varer i mer enn to uker. Tannkjøttet reagerer med å trekke seg unna tennene. Slimhinneforandringer vil vanligvis normaliseres dersom man slutter å snuse, større skader f.eks. Det betyr at tannkjøttet vil gro dårligere, kanskje ikke klare å gro i det hele tatt, hvis det for eksempel skulle bli nødvendig å trekke en tann.

Mangel på kunnskap om parodontale sykdommer. Etterhvert som vi blir eldre, trekker tannkjøttet seg mer og mer tilbake fra tennene. Nikotinet i tobakken gjør at blodkarene trekker seg sammen, som fører til dårligere blodgjennomstrømming til tannkjøttet. Røyking gir misfargning av tenner, munnslimhinneforandringer, økt risiko for tannløsning og kreft i munnhulen. De vanligste matvarene som inneholder akrylamid er potetgull, pommes.

Ludvig Var Inne For A Fjerne En Liten Anicura Follo Dyreklinikk Facebook
Ludvig Var Inne For A Fjerne En Liten Anicura Follo Dyreklinikk Facebook from lookaside.fbsbx.com
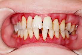
Når tannen er delvis dekket, kan det være vanskelig å holde den rein, og bakterier kan spre seg under tannkjøttet og forårsake en abscess. Tannkjøttbetennelser gir tannkjøttet en mørkere farge nærmest tennene. Vil ofte opptre i forbindelse med tunge eller leppe. Det er bakteriene i munnen som gir betennelse i tannkjøttet. Ofte vil tannkjøttet også bli hovent. Ovenfor stemmebåndene (supraglottis), i stemmebåndene (glottis) eller nedenfor stemmebåndene (subglottis). Vondt i tannkjøttet kan skyldes periodontal sykdom (periodontitt eller gingivitt). Dette er den innledende fasen av tannkjøttkreft.

Den mest alvorlige utviklingen er den som fører til tannløsning og økt risiko for hjerteinfarkt. Slimhinneforandringer vil vanligvis normaliseres dersom man slutter å snuse, større skader f.eks. Skadene i tannkjøttet man får lett betennelse i tannkjøttet ved bruk av snus. Det er bakteriene i munnen som gir betennelse i tannkjøttet. Tegn på gingivitt et friskt tannkjøtt har lys rød farge og ligger stramt inntil. Typiske tegn på slike betennelser er smerter, hevelse i tannkjøttet rundt den delvis frembrutte tannen og gapevansker. En abscess i tannkjøttet som delvis dekker en tann (pericoronal abscess) kan oppstå når en tann ikke bryter helt gjennom tannkjøttet. Her kan du lese hva det kan skyldes. Røyking gir misfargning av tenner, munnslimhinneforandringer, økt risiko for tannløsning og kreft i munnhulen. Han forteller at periodontitt er en betennelse i tannkjøttet forårsaket av bakterier som er en del av munnhulens normale flora. Forskere fra new zealand har nå oppdaget at kroppens immunsystem overreagerer i sitt forsøk på å hele sykdommer i tannkjøttet. I enkelte tilfeller vil en celle dele seg og/eller vokse unormalt, noe som til slutt fører til at det dannes en svulst eller tumor, en celleklump. Slike betennelsestegn kan være vanskelige å se hva er årsaken til tannkjøttbetennelse?

Noen symptomer du selv kan oppdage er åpne sår, hvite eller rødlige flekker samt endringer i leppene, tungen og slimhinnen som varer i mer enn to uker. Ofte vil tannkjøttet også bli hovent. Dersom tenner og tannkjøtt ikke holdes rene. Gjennomsnittsalder ved diagnosetidspunkt er 64 år. Finn periodontitt og betennelse i tannkjøttet.

Har Barnet Ditt Blemmer I Munnen Hjertevakten
Har Barnet Ditt Blemmer I Munnen Hjertevakten from www.hjertevakten.no
Mulig sammenheng mellom parasitt og betennelse i tannkjøttet. * hvite flekker og store sår i munnhulen kan være forstadiet til kreft. Vondt i tannkjøttet og tannkjøttsmerter kan være smertefullt og plagsomt. Det fins ingen bevis for at snus øker risikoen for kreft i tannkjøtt eller munnhule, men snusen påvirker både tannkjøttet og slimhinnene i munnen på forskjellige måter. I enkelte tilfeller vil en celle dele seg og/eller vokse unormalt, noe som til slutt fører til at det dannes en svulst eller tumor, en celleklump. Strupekreft utgjør en fjerdedel av all kreft i hode/halsregionen. Finn periodontitt og betennelse i tannkjøttet. En abscess i tannkjøttet som delvis dekker en tann (pericoronal abscess) kan oppstå når en tann ikke bryter helt gjennom tannkjøttet.

Strupekreft utgjør en fjerdedel av all kreft i hode/halsregionen. Slimhinneforandringer vil vanligvis normaliseres dersom man slutter å snuse, større skader f.eks. Dette kan til tider være veldig sjenerende også, om du har et tannkjøtt som har trukket seg lengre opp på tennene dine. Nikotinet i tobakken gjør at blodkarene trekker seg sammen, som fører til dårligere blodgjennomstrømming til tannkjøttet. Vondt i tannkjøttet og tannkjøttsmerter kan være smertefullt og plagsomt. I enkelte tilfeller vil en celle dele seg og/eller vokse unormalt, noe som til slutt fører til at det dannes en svulst eller tumor, en celleklump. * snus øker sjansen for kreft i andre organer i kroppen. Noen av de vanligste årsakene er dårlig tannhygiene, plakk på tennene, for hard tannbørste, infeksjon i tannroten eller tannkjøttet. Finn periodontitt og betennelse i tannkjøttet. * hvite flekker og store sår i munnhulen kan være forstadiet til kreft. Det betyr at tannkjøttet vil gro dårligere, kanskje ikke klare å gro i det hele tatt, hvis det for eksempel skulle bli nødvendig å trekke en tann. Han forteller at periodontitt er en betennelse i tannkjøttet forårsaket av bakterier som er en del av munnhulens normale flora. Hvorfor blør det egentlig i tannkjøttet etter at du har pusset tennene og er dette farlig?

Røyking gir misfargning av tenner, munnslimhinneforandringer, økt risiko for tannløsning og kreft i munnhulen. Tannkjøttet vil også være noe ømt og hovent, og senere i sykdomsforløpet kan tennene bli løsere og eventuelt flytte på seg. Ovenfor stemmebåndene (supraglottis), i stemmebåndene (glottis) eller nedenfor stemmebåndene (subglottis). I enkelte tilfeller vil en celle dele seg og/eller vokse unormalt, noe som til slutt fører til at det dannes en svulst eller tumor, en celleklump. Her kan du lese hva det kan skyldes.

Skratobakk Wikipedia
Skratobakk Wikipedia from upload.wikimedia.org
De fleste pasienter med alvorlig og tilbakevendende periodontitt (tannkjøttsykdom) viste en økt tilstedeværelse av amøben entamoeba gingivalis i munnhulen. 66% av franskmenn går til tannlegen en gang i året. Kreft i munnhulen tannlegen din vil se etter tegn på kreft i munnhulen. Strupekreft utgjør en fjerdedel av all kreft i hode/halsregionen. Dersom tenner og tannkjøtt ikke holdes rene. Røyking gir misfargning av tenner, munnslimhinneforandringer, økt risiko for tannløsning og kreft i munnhulen. Noen symptomer du selv kan oppdage er åpne sår, hvite eller rødlige flekker samt endringer i leppene, tungen og slimhinnen som varer i mer enn to uker. Symptomer på fjerde trinn i kreft i tannkjøttet.

Strupekreft utgjør en fjerdedel av all kreft i hode/halsregionen. Ovenfor stemmebåndene (supraglottis), i stemmebåndene (glottis) eller nedenfor stemmebåndene (subglottis). Dette er den innledende fasen av tannkjøttkreft. I tannkjøttet vil være permanente. Symptomer og første tegn på kreft i tannkjøttet. Vil ofte opptre i forbindelse med tunge eller leppe. Tidlig oppdagelse av kreft i munnhulen kan redde liv. 66% av franskmenn går til tannlegen en gang i året. Here at kreft we will evaluate your requirements and help guide you to the right. Etter hvert blir tannkjøttet rødt og hovent, og kan sitte litt mindre stramt rundt tennene. Nikotinet i tobakken gjør at blodkarene trekker seg sammen, som fører til dårligere blodgjennomstrømming til tannkjøttet. Tannkjøttbetennelser gir tannkjøttet en mørkere farge nærmest tennene. Det er bakteriene i munnen som gir betennelse i tannkjøttet.

Kreft I Tannkjøttet: Tegn på gingivitt et friskt tannkjøtt har lys rød farge og ligger stramt inntil.

Referanse: Kreft I Tannkjøttet

Share on Google Plus

About Patchen70276

This is a short description in the author block about the author. You edit it by entering text in the "Biographical Info" field in the user admin panel.

0 Tanggapan:

Post a Comment